Asuhan Keperawatan Pasien Dengan Serosis Hepatis Pada Tn.MS di Ruang IRNA B Lt.IV Kanan RSCM (Studi Kasus oleh Sunardi)

Sumber : Studi Kasus Pasien di RSCM JakartaDitulis oleh : SUNARDI  I. RIWAYAT SINGKAT PASIEN Nama: Tn.MS, Umur: 41 Tahun, Alamat : Jl.Cidodol No.34-Grogol selatan Kebayoran lama-Jaksel, Agama: Islam, Pendidikan: SMP, Pekerjaan: Buruh, Status perkawinan : Kawin, Suku: Jawa barat, Tanggal MRS: 22 Desember 2006 (Jam 03.00), Pengkajian: 22 Desember 2006 (Jam 09.00), Diagnosa masuk:…

Sirosis Hepatis dengan Hipertensi Portal dan Pecahnya Varises Esofagus (Yusri dkk)

Sumber : Majalah Kedokteran Andalas, No. 2 Vol 31. Juli – Desember 2007Ditulis oleh :Yusri Dianne Jurnalis, Yorva Sayoeti, Hernofialdi (Bagian Ilmu Kesehatan Anak Fakultas Kedokteran Universitas Andalas) ABSTRAK  Dilaporkan seorang anak perempuan usia 4 tahun dengan gejala utama perut tampak membesar sejak 6 bulan yang lalu. Keadaan umum pasien tampak sakit…

Temuan Ultrasonografi Kanker Hati Hepato Selular (Hepatoma) (Abdul Rasyid)

Sumber : Majalah Kedokteran Nusantara , Volume 39 , No. 2, Juni 2006Ditulis oleh : Abdul Rasyid , Laboratorium Radiologi FK USU/RS H. Adam Malik Medan Abstrak: Kanker hati hepato selular (hepatoma) adalah kanker nomor lima tersering di Indonesia. Walaupun angka kejadian dan kematiannya tinggi tetapi penyebab pasti belum diketahui. Perlu…

Sirosis Hepatis (Prof.Dr.Sujono Hadi)

Sumber : Sirosis Hepatis dalam Gastroenterologi. Edisi 7. Bandung ; 2002.                  Buku ajar Ilmu Penyakit Dalam jilid 1 FKUI, Jakarta ; 2000 Sirosis Hepatis adalah penyakit hati kronis yang tidak diketahui penyebabnya dengan pasti. Telah diketahui bahwa penyakit ini merupakan stadium terakhir dari penyakit hati kronis dan terjadinya pengerasan dari hati (Sujono H, 2002).Menurut…

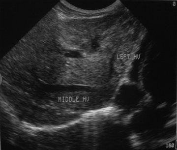
Hasil Penelitian : Sonografi Sirosis Hepatis di RSUD Dr. Moewardi

Suyono, Sofiana, Heru, Novianto, Riza, Musrifah (Bagian Radiologi Fakultas Kedokteran Universitas Sebelas Maret/Rumah Sakit Umum Daerah Dr. Moewardi Surakarta). Cermin Dunia Kedokteran , No. 150, 2006PENDAHULUANPenyakit hepar terutama hepatitis yang disebabkan oleh virus (terutama virus hepatitis B) saat ini sedang melanda dunia baik di negara maju maupun negara berkembang. Munculnya virus baru yaitu virus Hepatitis…

KANKER HATI The New Epidemic (Hepatocellular Carcinoma) dr. Johannes Sadikin M.D

Sumber : Mayapada Hospital Magazine. Edisi : 02/0409MHDitulis oleh : dr. Johannes Sadikin M.D KANKER HATI (Hepatocellular Carcinoma)The  new EpidemicKanker hati, atau dalam bahasa medisnya Hepatocellular Carcinoma (HCC) adalah jenis tumor yang ditemukan di organ hati. Di Amerika Serikat lebih dari 500.000 kasus dijumpai tiap tahunnya dan merupakan kanker ke tujuh terbanyak yang ditemui pada…